¿Por qué hacerte un empaste con nosotros es tu elección ideal?
El empaste es totalmente invisible
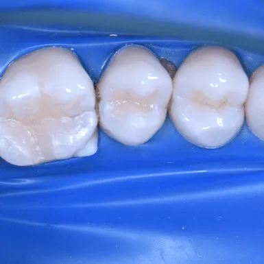
Recreación exacta de las cúspides para una mordida correcta
Utilizamos solo materiales premium
La anestesia moderna bloquea totalmente la sensibilidad
Historias reales de transformación
Un resultado ideal,
avalado por los pacientes
Alvina Grigoryan
Representante de una dinastía médica, la Dra. Grigoryan une la excelencia académica con una visión artística de la odontología contemporánea. Posee un máster en estética y está certificada en Invisalign, lo que le permite ejecutar rehabilitaciones complejas que armonizan salud, función y belleza natural. Su perfil internacional garantiza una atención de alto nivel y una comunicación médica precisa en tres idiomas.
Pedir cita
- Legado médico familiar
- Máster en estética avanzada
- Comunicación trilingüe fluida
- Miembro activo de SEPES
Preguntas frecuentes (FAQ)
Respondemos a tus dudas principales sobre el proceso, precios y garantías
¿Cuántos años dura un empaste?
Los empastes modernos de fotopolímero (fotocurado) duran de media de 5 a 10 años o más. La vida útil depende del volumen de destrucción del diente, tu higiene doméstica y la regularidad de las limpiezas profesionales.
¿Tiene garantía el empaste y qué hago si se cae?
Sí, ofrecemos garantía oficial en todos los trabajos de odontología conservadora. Gracias al uso del dique de goma y adhesivos de calidad, el riesgo de caída se reduce al mínimo. Pero si ocurre durante el periodo de garantía, restauraremos el empaste totalmente gratis.
¿Hay que cambiar los empastes viejos si no molestan?
Solo si se ha perdido su hermetismo. Si el empaste viejo se ha hundido, tiene fracturas o ha aparecido una línea oscura (hueco) entre este y el diente, hay que cambiarlo. En esas microgrietas entran bacterias, provocando «caries secundaria» dentro del diente, que puede avanzar sin dolor durante mucho tiempo.
¿Por qué el empaste se oscurece con el tiempo o se tiñe por los bordes?
El oscurecimiento de la unión (borde oscuro) indica que se ha roto la adherencia del material al tejido dental. En la microgrieta formada entran pigmentos de la comida y bacterias. Es una señal de alarma: es mejor sustituir ese empaste para prevenir el desarrollo de caries debajo.
¿Cuánto cuesta curar una caries y de qué depende el precio?
El precio depende de la profundidad de la lesión (superficial, media o profunda) y del grado de destrucción de la corona (cuántas superficies del diente hay que reconstruir). Siempre comunicamos y fijamos el precio exacto en el plan de tratamiento antes de que el doctor empiece a trabajar. El coste habitual del tratamiento de caries es de 75 € a 85 €.
Prepararemos un plan de tratamiento individualizado para usted absolutamente gratis
En la consulta, el médico realizará un diagnóstico 3D y elaborará un plan de tratamiento detallado con un cálculo preciso del coste
Pedir citaBiblioteca de conocimientos sobre tu sonrisa
«¿Por qué no me matas el nervio y ya?»: El choque cultural de salvar un diente en España
Uno de los momentos más tensos y reveladores en la consulta de un dentista en España ocurre a menudo cuando un paciente extranjero (especialmente de Europa del Este) se sienta en el sillón con un dolor de muelas. El paciente, pragmático y acostumbrado a soluciones drásticas, suele pedir: «Doctor, me duele, máteme el nervio o […]
Leer
La «Inflación Dental»: Por qué esperar a que te duela es la peor decisión financiera de tu vida
Si hablamos de finanzas personales, todos entendemos el concepto de «interés compuesto» en una deuda. Si no pagas una pequeña factura de tarjeta de crédito hoy, los intereses se acumulan y, en unos años, la deuda se vuelve impagable. Curiosamente, cuando se trata de la salud bucal, muchas personas ignoran esta lógica elemental, cayendo en […]
Leer
El Biohacking definitivo: Por qué tu propio diente es una máquina que el titanio no puede igualar
En la era de la tecnología médica avanzada, a menudo caemos en la trampa de pensar que «nuevo» es sinónimo de «mejor». Vemos anuncios de implantes dentales brillantes y asumimos que reemplazar un diente dañado por uno artificial es una mejora, un «upgrade» biónico. Sin embargo, desde la perspectiva del biohacking y la odontología conservadora […]
Leer